2026年05月27日
神戸市垂水区「春藤歯科医院」の紹介動画
院長の歯科医人生お絵描きムービー
動画は、お絵かきムービークリエーターの前川千波さんに作って頂いた「私の歯科医人生」です。
最後までご覧いただき登録された方には「お口のチェックシート」のプレゼントがあります。
ぜひ最後まで御覧ください。
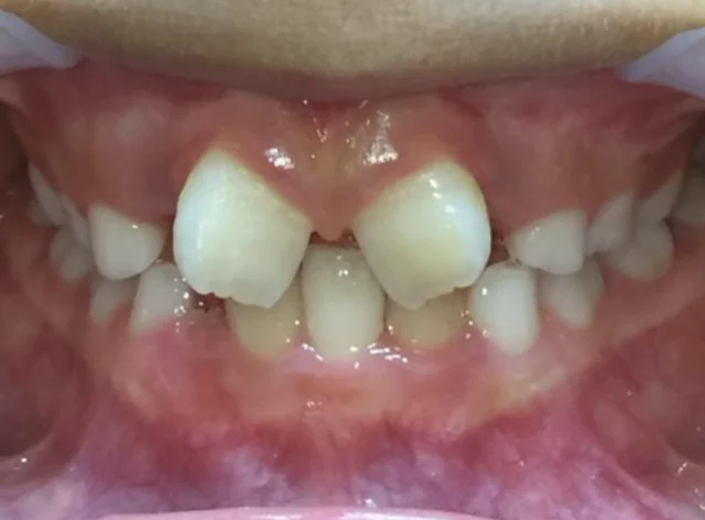
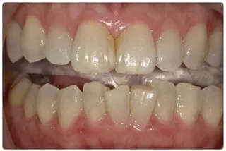
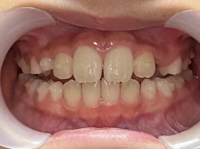
春藤歯科医院の矯正治療
矯正治療で、噛み合わせから身体の健康までを整える。
当院は歯並びを整えるだけでなく、体のバランスまで整えます!矯正治療に対する当院の姿勢を取材していただきました!ぜひご覧ください。
「シン・中心位」で全身の健康を目指す
「シン・中心位®️」は春藤歯科医院が商標登録済
見た目だけでなく、根本から改善し健康を目指しませんか?
当院の治療について動画にしましたのでご覧ください!



